
Bezśrubowe implanty zębów to nowoczesne rozwiązanie w dziedzinie stomatologii, które zyskuje coraz większą popularność wśród pacjentów oraz dentystów. W przeciwieństwie do tradycyjnych implantów, które wymagają użycia śrub do mocowania, bezśrubowe implanty opierają się na innowacyjnej technologii, która pozwala na ich stabilizację bez konieczności stosowania dodatkowych elementów. Tego rodzaju implanty są projektowane tak, aby idealnie pasowały do struktury kości pacjenta, co minimalizuje ryzyko odrzutu oraz zwiększa komfort noszenia. Proces ich wszczepienia jest zazwyczaj mniej inwazyjny, co oznacza krótszy czas rekonwalescencji oraz mniejsze ryzyko powikłań. Bezśrubowe implanty zębów są również bardziej estetyczne, ponieważ eliminują widoczność jakichkolwiek metalowych elementów. Dzięki temu pacjenci mogą cieszyć się naturalnym wyglądem uśmiechu, co jest niezwykle istotne dla wielu osób.
Jakie są zalety bezśrubowych implantów zębów?
Zalety bezśrubowych implantów zębów są liczne i różnorodne, co sprawia, że stają się one coraz bardziej atrakcyjną opcją dla osób potrzebujących uzupełnienia brakujących zębów. Przede wszystkim, jednym z najważniejszych atutów tych implantów jest ich prostota montażu. Dzięki zastosowaniu nowoczesnych technologii można je wszczepić w sposób mniej inwazyjny niż tradycyjne rozwiązania, co prowadzi do szybszego procesu gojenia oraz mniejszego dyskomfortu dla pacjenta. Kolejną zaletą jest ich estetyka – brak widocznych śrub sprawia, że uśmiech wygląda naturalnie i harmonijnie. Oprócz tego bezśrubowe implanty charakteryzują się wysoką stabilnością oraz trwałością, co oznacza, że mogą służyć przez wiele lat bez konieczności wymiany. Dodatkowo ich konstrukcja pozwala na lepsze przenoszenie sił żucia na kość szczęki, co sprzyja jej zdrowiu i regeneracji. Warto również zauważyć, że wiele osób docenia krótszy czas leczenia oraz mniejsze ryzyko infekcji związane z mniejszą ilością ingerencji chirurgicznych.
Jak przebiega proces wszczepienia bezśrubowych implantów zębów?

Proces wszczepienia bezśrubowych implantów zębów jest skomplikowanym zabiegiem medycznym, który wymaga starannego planowania oraz precyzyjnego wykonania. Na początku lekarz stomatolog przeprowadza szczegółową diagnostykę, która może obejmować zdjęcia rentgenowskie oraz tomografię komputerową. Te badania pozwalają ocenić stan kości oraz określić najlepsze miejsce do wszczepienia implantu. Następnie pacjent otrzymuje znieczulenie miejscowe lub ogólne w zależności od skomplikowania zabiegu oraz indywidualnych preferencji. Po przygotowaniu miejsca wszczepienia lekarz umieszcza implant w kości szczęki za pomocą specjalistycznych narzędzi. W przypadku bezśrubowych implantów proces ten jest zazwyczaj mniej inwazyjny niż w przypadku tradycyjnych rozwiązań. Po umieszczeniu implantu następuje okres gojenia, który trwa od kilku tygodni do kilku miesięcy w zależności od indywidualnych predyspozycji pacjenta oraz jakości kości. W tym czasie implant integruje się z tkankami kostnymi, co zapewnia jego stabilność i trwałość. Po zakończeniu procesu gojenia następuje etap protetyczny, podczas którego na implancie umieszczana jest korona protetyczna lub inny element uzupełniający.
Czy bezśrubowe implanty zębów są odpowiednie dla każdego?
Decyzja o zastosowaniu bezśrubowych implantów zębów nie zawsze jest prosta i wymaga dokładnej analizy stanu zdrowia pacjenta oraz jego oczekiwań. Choć wiele osób może skorzystać z tej nowoczesnej metody leczenia braków w uzębieniu, istnieją pewne przeciwwskazania oraz czynniki ryzyka, które należy wziąć pod uwagę przed podjęciem decyzji o wszczepieniu implantu. Przede wszystkim kluczowym czynnikiem jest stan kości szczęki – jeśli kość jest zbyt słaba lub niewystarczająca do wsparcia implantu, lekarz może zalecić inne metody leczenia lub przeprowadzenie zabiegów augmentacji kości przed wszczepieniem implantu. Ponadto osoby cierpiące na choroby przewlekłe takie jak cukrzyca czy choroby serca powinny być szczególnie ostrożne i skonsultować się ze specjalistą przed podjęciem decyzji o zabiegu. Również palenie tytoniu może wpływać negatywnie na proces gojenia i integracji implantu z kością. Ważne jest także przestrzeganie zasad higieny jamy ustnej po zabiegu oraz regularne wizyty kontrolne u stomatologa, aby zapewnić długotrwałe efekty leczenia.
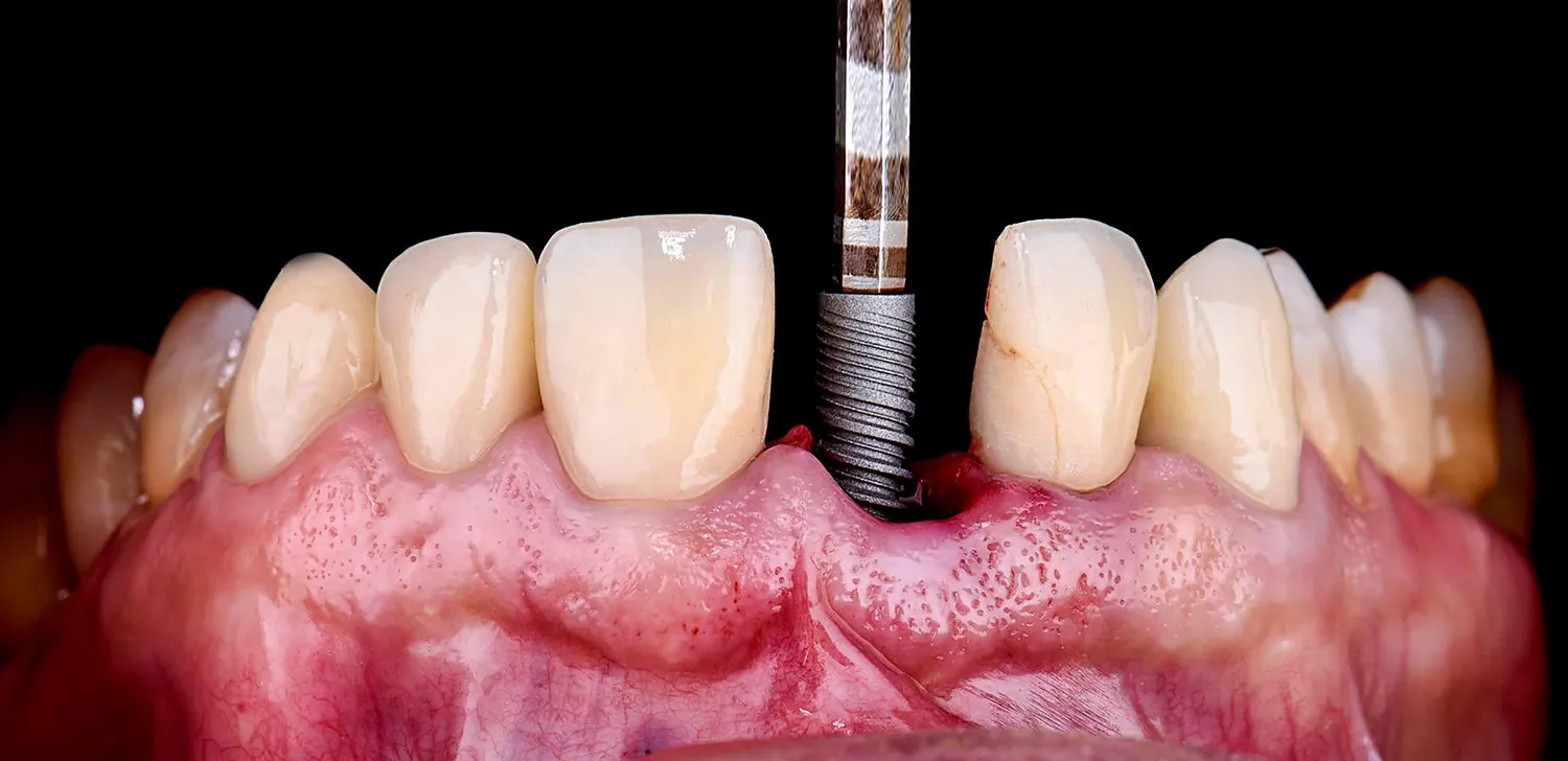
Jakie są różnice między bezśrubowymi a tradycyjnymi implantami zębów?
Różnice między bezśrubowymi a tradycyjnymi implantami zębów są znaczące i mogą mieć wpływ na wybór metody leczenia przez pacjentów. Przede wszystkim, jak sama nazwa wskazuje, bezśrubowe implanty nie wymagają użycia śrub do mocowania, co czyni je bardziej estetycznymi i mniej inwazyjnymi. W przypadku tradycyjnych implantów, śruby są kluczowym elementem stabilizującym, co może prowadzić do większej liczby interwencji chirurgicznych oraz dłuższego czasu rekonwalescencji. Bezśrubowe implanty są projektowane w taki sposób, aby ich kształt i powierzchnia były optymalnie dopasowane do kości pacjenta, co sprzyja lepszemu osadzeniu się implantu w tkance kostnej. Kolejną istotną różnicą jest czas gojenia – bezśrubowe implanty zazwyczaj integrują się z kością szybciej niż ich tradycyjne odpowiedniki, co oznacza krótszy czas oczekiwania na zakończenie całego procesu leczenia. Dodatkowo, pacjenci często zgłaszają mniejszy dyskomfort po zabiegu związanym z bezśrubowymi implantami, co może być istotnym czynnikiem dla osób obawiających się bólu lub długotrwałego okresu rekonwalescencji.
Jakie są koszty związane z bezśrubowymi implantami zębów?
Koszty związane z bezśrubowymi implantami zębów mogą się znacznie różnić w zależności od wielu czynników, takich jak lokalizacja gabinetu stomatologicznego, doświadczenie lekarza oraz zakres wykonywanych usług. Zazwyczaj ceny za wszczepienie jednego implantu wahają się od kilku do kilkunastu tysięcy złotych. Warto jednak zauważyć, że choć początkowy koszt może wydawać się wysoki, to inwestycja w bezśrubowe implanty często przynosi długoterminowe korzyści. Dzięki ich trwałości i stabilności, pacjenci mogą uniknąć dodatkowych wydatków związanych z ewentualnymi naprawami czy wymianą tradycyjnych implantów. Dodatkowo warto uwzględnić koszty związane z wizytami kontrolnymi oraz ewentualnymi zabiegami przygotowawczymi, takimi jak augmentacja kości czy leczenie chorób przyzębia. Wiele klinik oferuje różne opcje finansowania oraz możliwość rozłożenia płatności na raty, co może ułatwić pacjentom podjęcie decyzji o leczeniu.
Jak dbać o bezśrubowe implanty zębów po zabiegu?
Prawidłowa pielęgnacja bezśrubowych implantów zębów po zabiegu jest kluczowa dla zapewnienia ich długotrwałej funkcjonalności oraz zdrowia jamy ustnej. Po pierwsze, niezwykle ważne jest przestrzeganie zaleceń lekarza dotyczących higieny jamy ustnej. Pacjenci powinni regularnie szczotkować zęby co najmniej dwa razy dziennie oraz stosować nici dentystyczne lub irygatory do usuwania resztek pokarmowych z trudno dostępnych miejsc. Ponadto zaleca się unikanie twardych pokarmów w pierwszych tygodniach po zabiegu, aby nie obciążać implantu i dać mu czas na pełną integrację z kością. Regularne wizyty kontrolne u stomatologa są również niezbędne – pozwalają one na monitorowanie stanu zdrowia implantu oraz wykrywanie ewentualnych problemów na wczesnym etapie. Warto także zwrócić uwagę na ogólny stan zdrowia organizmu – choroby przewlekłe takie jak cukrzyca mogą wpływać na proces gojenia i integracji implantu. Osoby palące powinny rozważyć ograniczenie lub zaprzestanie palenia tytoniu, ponieważ może to negatywnie wpłynąć na sukces leczenia.
Czy istnieją ryzyka związane z bezśrubowymi implantami zębów?
Podobnie jak każdy zabieg chirurgiczny, wszczepienie bezśrubowych implantów zębów wiąże się z pewnymi ryzykami oraz potencjalnymi powikłaniami. Choć ogólnie są one uznawane za bezpieczne i skuteczne rozwiązanie, istnieją czynniki, które mogą zwiększać ryzyko wystąpienia problemów po zabiegu. Jednym z najczęstszych ryzyk jest infekcja w miejscu wszczepienia implantu, która może prowadzić do odrzutu implantu lub innych powikłań zdrowotnych. Dlatego tak ważne jest przestrzeganie zasad higieny jamy ustnej oraz regularne kontrole u stomatologa. Innym ryzykiem jest niewłaściwe osadzenie implantu w kości szczęki, co może prowadzić do bólu lub dyskomfortu podczas żucia. W przypadku osób cierpiących na choroby przewlekłe lub mających problemy ze stanem kości, takich jak osteoporoza, ryzyko niepowodzenia zabiegu może być wyższe. Ważne jest również informowanie lekarza o wszystkich przyjmowanych lekach oraz suplementach diety przed przystąpieniem do zabiegu.
Jak długo trwa życie bezśrubowych implantów zębów?











