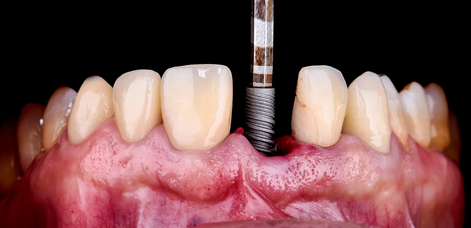
Wybór implantów zębów w Szczecinie to decyzja o podjęciu kroków w kierunku odzyskania pełnej funkcjonalności jamy ustnej oraz estetyki uśmiechu, która może być znacząco zaburzona przez braki zębowe. Implanty stomatologiczne są obecnie uznawane za złoty standard w leczeniu bezzębia lub pojedynczych braków zębowych, oferując rozwiązania, które naśladują naturalne zęby pod względem wyglądu, czucia i funkcji. Proces wszczepienia implantu polega na umieszczeniu w kości szczęki lub żuchwy tytanowego elementu, który pełni rolę sztucznego korzenia zęba. Po odpowiednim okresie gojenia i zrośnięcia implantu z kością (osteointegracji), na jego wierzchołku mocowany jest łącznik protetyczny, a następnie korona, która idealnie dopasowuje się do pozostałych zębów pacjenta.
Jedną z kluczowych zalet implantów zębów jest ich trwałość. Przy odpowiedniej higienie jamy ustnej i regularnych kontrolach stomatologicznych, implanty mogą służyć pacjentowi przez całe życie. W przeciwieństwie do tradycyjnych protez, implanty nie wymagają mocowania do sąsiednich zębów, co pozwala na zachowanie ich naturalnej struktury i uniknięcie ich osłabienia. Ponadto, implanty stymulują kość szczęki, zapobiegając jej zanikowi, który jest częstym problemem po utracie zębów. Utrata kości może prowadzić do zmiany rysów twarzy i zapadnięcia się policzków, czego implanty skutecznie zapobiegają.
Decydując się na implanty zębów w Szczecinie, pacjenci mogą liczyć na indywidualne podejście i dopasowanie planu leczenia do swoich potrzeb. Nowoczesne gabinety stomatologiczne dysponują zaawansowanym sprzętem diagnostycznym, takim jak tomografia komputerowa 3D, która pozwala na precyzyjne zaplanowanie zabiegu, ocenę stanu kości i wybór optymalnego miejsca wszczepienia implantu. Dzięki temu procedura jest bezpieczniejsza, a ryzyko powikłań minimalizowane. Profesjonalni chirurdzy stomatolodzy i protetycy w Szczecinie stale podnoszą swoje kwalifikacje, uczestnicząc w szkoleniach i konferencjach, aby oferować pacjentom najwyższy standard opieki implantologicznej.
Jak wygląda profesjonalna opieka stomatologiczna nad implantami zębów w Szczecinie
Profesjonalna opieka stomatologiczna nad implantami zębów w Szczecinie obejmuje szereg etapów, które zapewniają długoterminowy sukces leczenia i utrzymanie zdrowia jamy ustnej. Po zakończeniu procedury wszczepienia implantu i zamocowaniu korony protetycznej, pacjent otrzymuje szczegółowe instrukcje dotyczące higieny. Kluczowe jest regularne i dokładne szczotkowanie, używanie nici dentystycznej oraz irygatora, aby usunąć resztki pokarmu i płytkę bakteryjną z okolic implantu i korony. Zaniedbanie higieny może prowadzić do zapalenia tkanek okołowszczepowych, znanego jako peri-implantitis, które w skrajnych przypadkach może skutkować utratą implantu.
Kolejnym niezwykle ważnym elementem opieki są regularne wizyty kontrolne u stomatologa. W Szczecinie gabinety oferują profesjonalne przeglądy stanu implantów, które zazwyczaj odbywają się co najmniej dwa razy w roku. Podczas takiej wizyty lekarz ocenia stan tkanek miękkich wokół implantu, sprawdza stabilność korony protetycznej, a także wykonuje profesjonalne czyszczenie. W razie potrzeby, stomatolog może zlecić wykonanie zdjęć rentgenowskich, aby ocenić stan kości wokół implantu i wykryć ewentualne problemy na wczesnym etapie. Wczesne wykrycie i leczenie peri-implantitis jest kluczowe dla zachowania implantu.
W przypadku pojawienia się jakichkolwiek niepokojących objawów, takich jak ból, obrzęk, krwawienie z dziąseł lub uczucie obluzowania korony, pacjent powinien niezwłocznie skontaktować się ze swoim stomatologiem w Szczecinie. Szybka reakcja i interwencja specjalisty mogą zapobiec poważniejszym komplikacjom. Nowoczesne gabinety stomatologiczne w Szczecinie dysponują odpowiednimi narzędziami i wiedzą, aby skutecznie radzić sobie z wszelkiego rodzaju problemami związanymi z implantami, zapewniając pacjentom spokój i pewność co do długoterminowej skuteczności leczenia.
Koszty i finansowanie implantów zębów w Szczecinie dla wymagających pacjentów

Warto zaznaczyć, że inwestycja w implanty zębów, mimo początkowo wyższych kosztów w porównaniu do tradycyjnych protez, często okazuje się bardziej opłacalna w dłuższej perspektywie. Implanty są rozwiązaniem trwałym, nie wymagają częstych wymian ani modyfikacji, a także zapobiegają zanikowi kości, co może generować kolejne koszty leczenia w przyszłości. Ponadto, komfort użytkowania i przywrócenie pełnej funkcji żucia i estetyki uśmiechu mają nieocenioną wartość dla jakości życia pacjenta.
Wiele gabinetów stomatologicznych w Szczecinie, wychodząc naprzeciw oczekiwaniom pacjentów, oferuje różne formy finansowania leczenia implantologicznego. Dostępne są opcje płatności ratalnych, często we współpracy z zewnętrznymi firmami oferującymi kredyty medyczne. Pozwala to rozłożyć koszt zabiegu na dogodne dla pacjenta raty, czyniąc leczenie implantologiczne bardziej dostępnym. Przed podjęciem decyzji o zabiegu, warto dokładnie zapoznać się z ofertą poszczególnych klinik, porównać ceny, a także zapytać o dostępne metody płatności i ewentualne promocje. Szczegółowy kosztorys powinien być przedstawiony pacjentowi przed rozpoczęciem leczenia.
Zalety nowoczesnych metod leczenia implantami zębów w Szczecinie
Nowoczesne metody leczenia implantami zębów w Szczecinie przynoszą pacjentom szereg znaczących korzyści, które wykraczają poza tradycyjne podejście do uzupełniania braków zębowych. Jedną z kluczowych innowacji jest zastosowanie cyfrowego planowania leczenia. Dzięki zaawansowanemu oprogramowaniu i obrazowaniu 3D, lekarze mogą precyzyjnie zaplanować pozycję implantu, uwzględniając anatomię pacjenta, gęstość kości oraz położenie ważnych struktur nerwowych i naczyniowych. Pozwala to na minimalizację ryzyka komplikacji i optymalizację wyników estetycznych oraz funkcjonalnych.
Kolejnym aspektem postępu są innowacyjne techniki chirurgiczne, takie jak nawigacja komputerowa podczas wszczepiania implantów. Systemy nawigacji pozwalają na prowadzenie wiertła z niezwykłą precyzją, zgodnie z wcześniej zaplanowaną ścieżką, co jest szczególnie ważne w przypadkach wymagających skomplikowanego umiejscowienia implantu lub u pacjentów z ograniczoną ilością tkanki kostnej. Minimalnie inwazyjne techniki chirurgiczne skracają czas rekonwalescencji, zmniejszają obrzęk i ból pooperacyjny, a także redukują ryzyko uszkodzenia tkanek otaczających.
Warto również wspomnieć o rozwoju materiałów używanych do produkcji implantów oraz materiałów do augmentacji kości. Tytan, będący podstawowym materiałem implantów, jest biokompatybilny i doskonale integruje się z tkanką kostną. Dostępne są również implanty wykonane z ceramiki, które stanowią alternatywę dla pacjentów z alergią na metale. Materiały do regeneracji kości, takie jak biomateriały syntetyczne i materiały autogenne, pozwalają na skuteczne odbudowanie utraconej tkanki kostnej, co umożliwia wszczepienie implantów nawet w trudnych przypadkach. Gabinety w Szczecinie stale inwestują w najnowsze technologie i szkolenia, aby oferować pacjentom leczenie implantologiczne na najwyższym światowym poziomie.
Co należy wiedzieć o procesie gojenia i rekonwalescencji po implantach zębów
Proces gojenia i rekonwalescencji po zabiegu wszczepienia implantów zębów w Szczecinie jest kluczowym etapem, który decyduje o długoterminowym sukcesie całego leczenia. Bezpośrednio po zabiegu pacjent może odczuwać pewien dyskomfort, ból oraz niewielki obrzęk w okolicy operowanej. Stomatolog zazwyczaj przepisuje odpowiednie leki przeciwbólowe i przeciwzapalne, które pomagają złagodzić te objawy. Zaleca się również stosowanie zimnych okładów na policzek oraz unikanie gorących napojów i potraw, które mogą nasilać obrzęk i krwawienie.
Ważne jest, aby w okresie rekonwalescencji przestrzegać zaleceń dotyczących higieny jamy ustnej. Przez pierwsze dni po zabiegu należy unikać szczotkowania bezpośrednio w okolicy implantu, stosując specjalne płukanki antyseptyczne przepisane przez lekarza. Stopniowo, w miarę postępów gojenia, można wracać do normalnych nawyków higienicznych, pamiętając o delikatności i precyzji. Ważne jest również unikanie nadmiernego wysiłku fizycznego, palenia tytoniu i spożywania alkoholu, które mogą negatywnie wpływać na proces gojenia i integracji implantu z kością.
Głównym etapem gojenia jest osteointegracja, czyli proces zrastania się implantu z tkanką kostną. Trwa on zazwyczaj od kilku do kilkunastu tygodni, w zależności od indywidualnych predyspozycji pacjenta i lokalizacji implantu. W tym czasie implant jest stabilny w kości i stanowi solidne podparcie dla przyszłej korony protetycznej. Po zakończeniu etapu osteointegracji następuje etap protetyczny, czyli wykonanie i zamocowanie korony na implancie. Cały proces leczenia implantologicznego, od wszczepienia implantu do zakończenia protetycznego, może trwać od kilku miesięcy do roku. Regularne wizyty kontrolne u stomatologa w Szczecinie w tym okresie są niezbędne do monitorowania postępów gojenia i zapewnienia optymalnych rezultatów.
Jakie są alternatywy dla implantów zębów dostępne w Szczecinie
Chociaż implanty zębów są uznawane za najlepsze rozwiązanie w przypadku braków zębowych, istnieją również inne metody, które mogą być rozważone przez pacjentów w Szczecinie. Jedną z tradycyjnych opcji jest zastosowanie protez ruchomych. Protezy częściowe, zwane potocznie „wyjmowanymi”, mogą być stosowane, gdy pacjent ma zachowane niektóre własne zęby, które mogą służyć jako filary dla protezy. Protezy całkowite natomiast są rozwiązaniem dla pacjentów, którzy stracili wszystkie zęby w szczęce lub żuchwie. Protezy te są wykonane z akrylu i metalu, zapewniając przywrócenie estetyki i częściowej funkcji żucia. Należy jednak pamiętać, że protezy ruchome często nie są tak stabilne jak implanty i mogą powodować dyskomfort podczas jedzenia i mówienia.
Kolejną alternatywą dla implantów są mosty protetyczne. Most składa się z kilku połączonych ze sobą koron, które są cementowane na zębach sąsiadujących z luką po utraconym zębie. Zęby filarowe muszą zostać oszlifowane, aby mogły stanowić podporę dla mostu. Mosty protetyczne są bardziej stabilne niż protezy ruchome i lepiej imitują naturalne uzębienie. Jednakże, ich zastosowanie wymaga oszlifowania zdrowych zębów, co może prowadzić do ich osłabienia i zwiększonego ryzyka próchnicy. Ponadto, mosty nie zapobiegają zanikowi kości pod miejscem utraconego zęba.
Wybór odpowiedniej metody uzupełnienia braków zębowych powinien być dokonany po konsultacji ze stomatologiem w Szczecinie. Lekarz, biorąc pod uwagę stan zdrowia pacjenta, jakość tkanki kostnej, liczbę brakujących zębów oraz indywidualne preferencje, doradzi najlepsze rozwiązanie. W niektórych przypadkach, można również rozważyć kombinację różnych metod, na przykład zastosowanie implantów w połączeniu z mostem protetycznym. Ważne jest, aby pacjent był świadomy wszystkich dostępnych opcji, ich zalet i wad, aby podjąć najlepszą dla siebie decyzję.
„`





